SOCIEDAD
-

Nueva sanción al volante: ya te pueden multar por el móvil aunque no lo estés usando
La reforma de la Ley sobre Tráfico, Circulación de Vehículos a Motor y Seguridad Vial se endurece con una nueva aprobación más dirigida a todo aquel conductor que sienta la…
-

¿Las familias españolas tenemos hábitos saludables? Compruébalo a través de este test
«¿Qué futuro queremos dar a nuestros hijos, los adultos del mañana? Comer bien en familia no es solo una decisión personal sino también una responsabilidad que tenemos como padres, como…
-

Recorrer la Vía de la Plata a través del estómago
La Red de Cooperación de Ciudades en la Ruta de la Plata ha editado una nueva guía, ‘Gastronomía en la Ruta Vía de la Plata’, en la que recoge más de una…
-

El Banco de España pide más vivienda pública y bonificaciones fiscales a arrendatarios para incentivar el alquiler
Esta propuesta, defendida en el informe anual del organismo, pretende así mitigar los efectos adversos derivados de los “elevados” niveles de desigualdad que existen en España. Sobre este respecto, el…
-

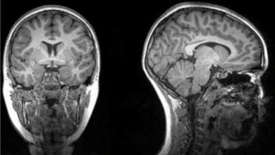
La COVID-19 altera el volumen de materia gris en el cerebro, según un estudio
Los pacientes con COVID-19 que reciben oxígeno o experimentan fiebre muestran un menor volumen de materia gris en la red frontal-temporal del cerebro, según un nuevo estudio dirigido por investigadores…
-

Sánchez anuncia la “vacunación masiva de menores de 50 años” para junio
El presidente del Gobierno, Pedro Sánchez, anunció este lunes que en el mes de junio habrá un proceso de “vacunación masiva de menores de 50 años» en España, una vez…
-

Las estaciones de servicio expresan su «desacuerdo» con el impulso solo de la movilidad eléctrica
La Federación Regional de Estaciones de Servicio expresó hoy su «desacuerdo» con el impulso solo de la movilidad eléctrica en la nueva Ley del Clima, por lo que manifestó su…
-

Así se plantean la mayoría de los españoles las vacaciones para este verano
Nueve de cada diez españoles coinciden en que, al menos este verano y en los próximos meses, viajarán más que en años anteriores dentro de España, según el estudio centrado…
-

Una encuesta de CSIF a más de 300 docentes advierte de que el 75% no ha recibido la primera dosis
La Central Sindical Independiente y de Funcionarios (CSIF) explica que esta iniciativa es fruto de contar con datos oficiales del porcentaje de docentes que ya han recibido la primera dosis…









